Figure 1
Download original image
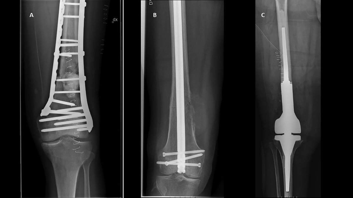
Representative cases of patients who underwent surgical treatment with distal femoral metastases. A. Plate osteosynthesis for lung cancer metastasis with displaced pathological fracture B. Retrograde nail osteosynthesis for colon cancer metastasis with non-displaced pathological fracture C. En bloc resection and megaprosthesis reconstruction for renal cancer metastasis with displaced pathological fracture.
Current usage metrics show cumulative count of Article Views (full-text article views including HTML views, PDF and ePub downloads, according to the available data) and Abstracts Views on Vision4Press platform.
Data correspond to usage on the plateform after 2015. The current usage metrics is available 48-96 hours after online publication and is updated daily on week days.
Initial download of the metrics may take a while.
