Open Access
Figure 1
Download original image
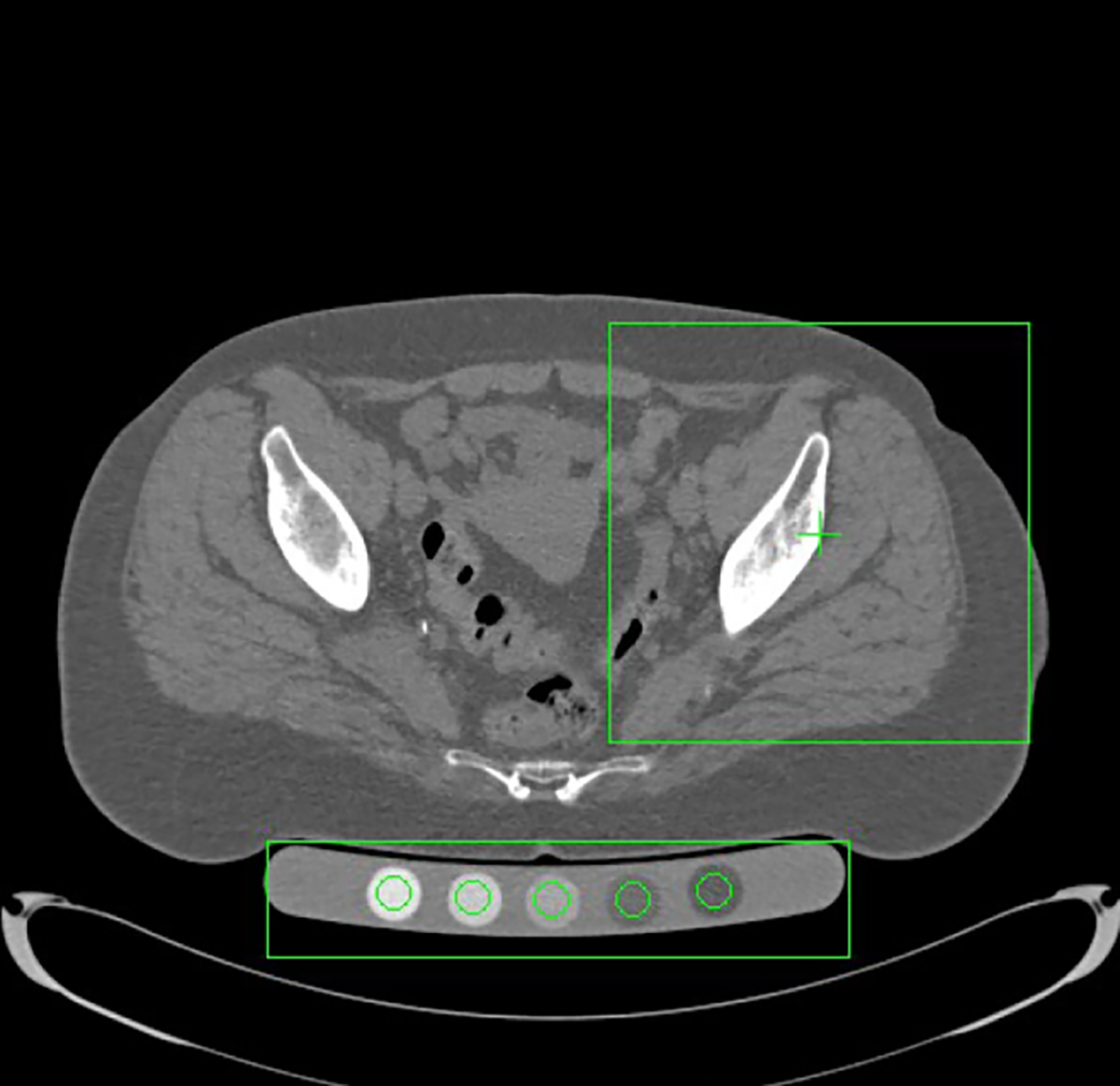
Automatic selection of regions of interest (ROIs) for QCT analysis. Axial CT slice processed with the CTXA Hip module (QCT Pro, Mindways). The green boxes indicate the automated placement of the hip ROI and the calibration phantom, which are used to extract bone mineral density values for osteoporosis assessment.
Current usage metrics show cumulative count of Article Views (full-text article views including HTML views, PDF and ePub downloads, according to the available data) and Abstracts Views on Vision4Press platform.
Data correspond to usage on the plateform after 2015. The current usage metrics is available 48-96 hours after online publication and is updated daily on week days.
Initial download of the metrics may take a while.
