Figure 4

Download original image
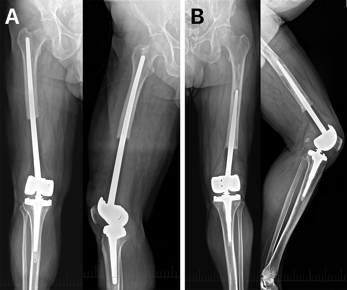
Representative radiographs of cemented custom-made distal femoral megaprosthetic reconstruction after tumor resection. (A) Patient following resection of a conventional grade 2 chondrosarcoma with a 20 cm distal femoral defect reconstructed using a cemented custom-made distal femoral replacement (stem diameter 14 mm, fixation length 21 cm). (B) Patient with malignant epithelioid hemangioendothelioma treated with distal femoral resection of 14 cm and reconstruction using a cemented custom-made megaprosthesis (stem diameter 16 mm, fixation length 17 cm), demonstrating aseptic loosening 6 years after implantation.
Current usage metrics show cumulative count of Article Views (full-text article views including HTML views, PDF and ePub downloads, according to the available data) and Abstracts Views on Vision4Press platform.
Data correspond to usage on the plateform after 2015. The current usage metrics is available 48-96 hours after online publication and is updated daily on week days.
Initial download of the metrics may take a while.
